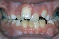
Hier ist eine Behandlung angesagt
|
|
|
| Unterkiefervorlage | Unterkiefervorlage, frontoffen | |
|
|
|
| Unterkieferrücklage | Unterkieferrücklage | |
|
|
|
| Frontoffener Biss, evtl. durch Daumen versursacht | Frontoffener Biss, evtl. durch Zungenfehlfunktion verursacht | |
|
|
|
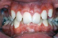
| Tiefbiss | Kreuzbiss vorne | |
|
|
|
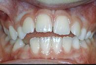
| Kreuzbiss seitlich | Zahnengstand | |
|
|
|
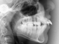
| Fernröntgenbild | Orthopantomogramm |
