Hier ist eine Behandlung angesagt

 
Unterkiefervorlage   Unterkiefervorlage, frontoffen
 
Unterkieferrücklage   Unterkieferrücklage
 
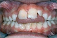
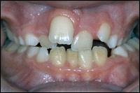
Frontoffener Biss, evtl. durch Daumen versursacht   Frontoffener Biss, evtl. durch Zungenfehlfunktion verursacht
 
Tiefbiss   Kreuzbiss vorne
 
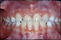
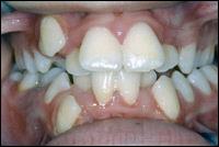
Kreuzbiss seitlich   Zahnengstand
 
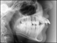
Fernröntgenbild   Orthopantomogramm

(C) 2011 - Alle Rechte vorbehalten

Diese Seite drucken